微信登录,快人一步
只需一步,快速开始
使用道具 举报
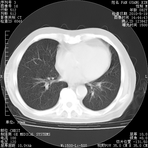
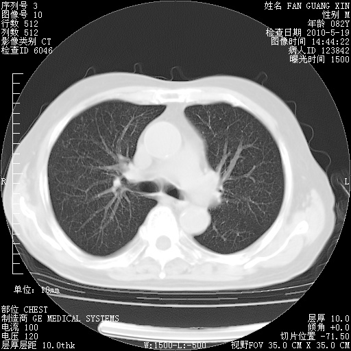
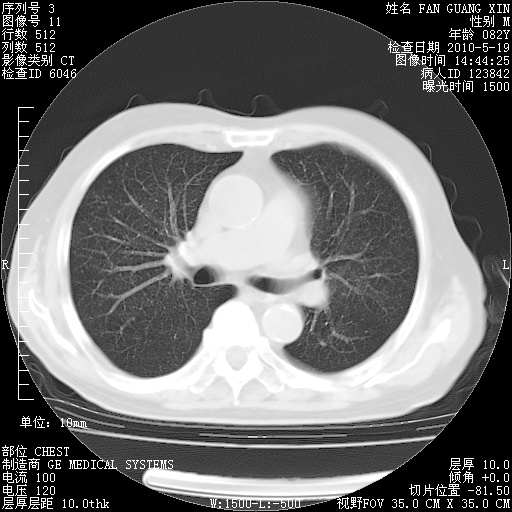
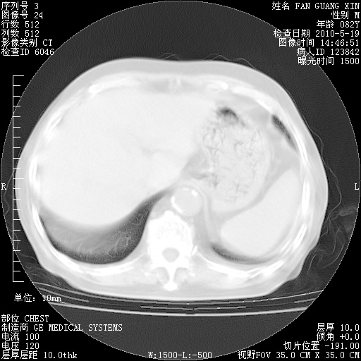
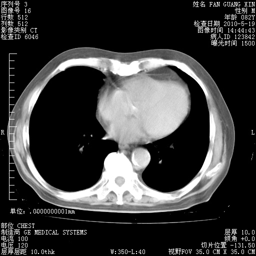
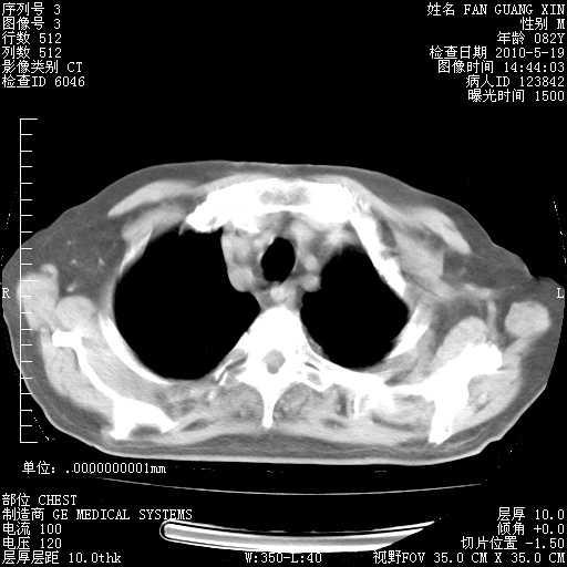
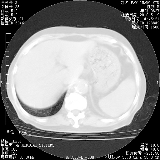
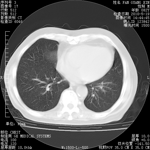
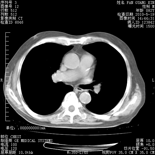
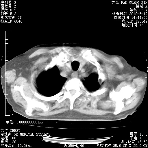
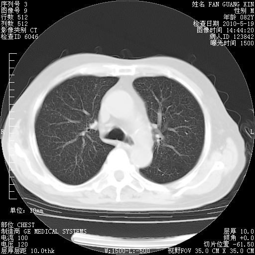
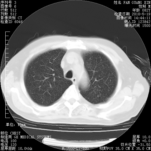
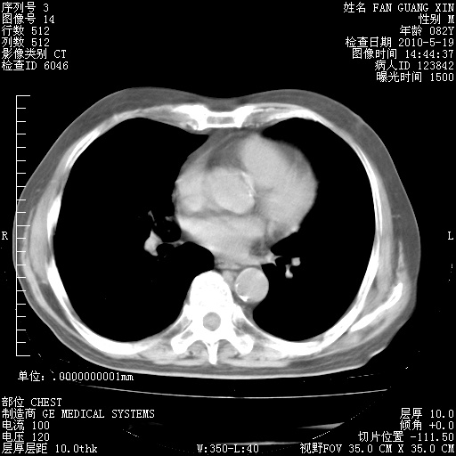
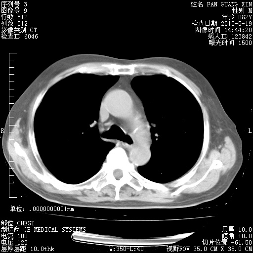
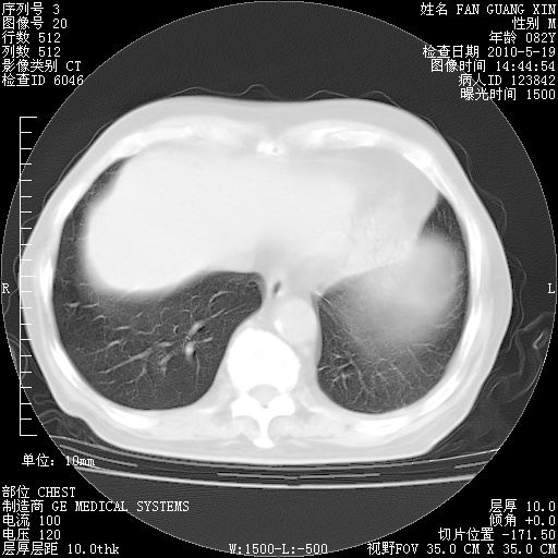
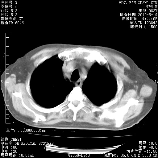
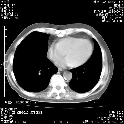
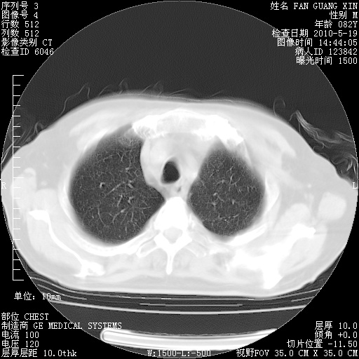
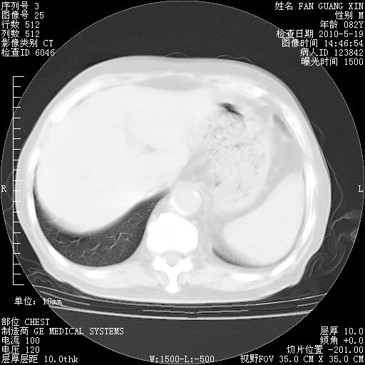
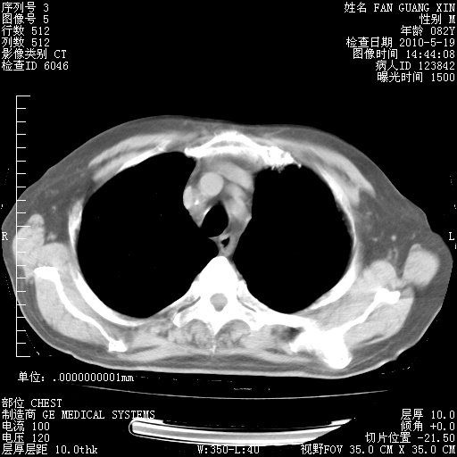
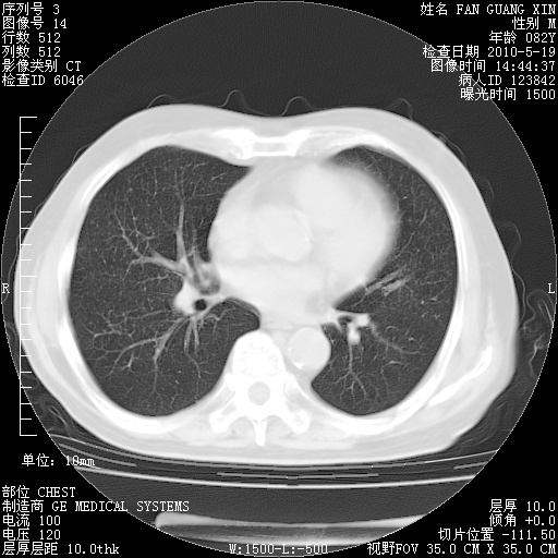
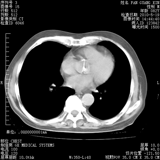
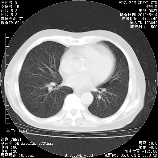
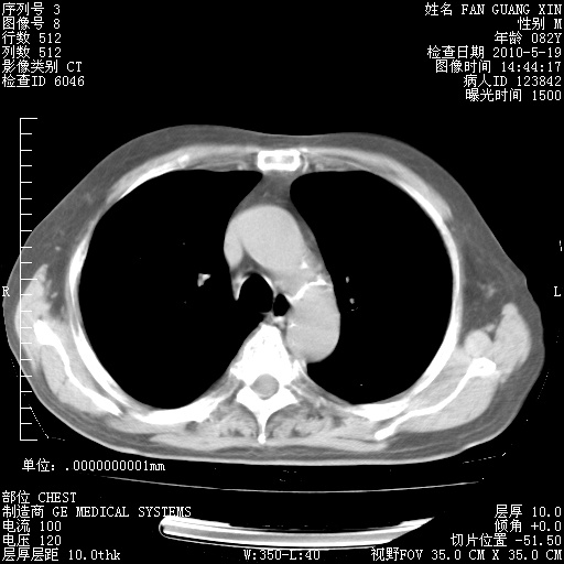
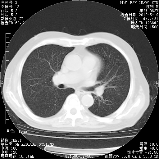
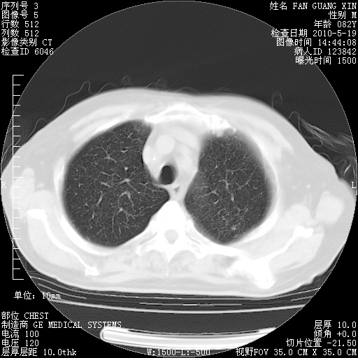
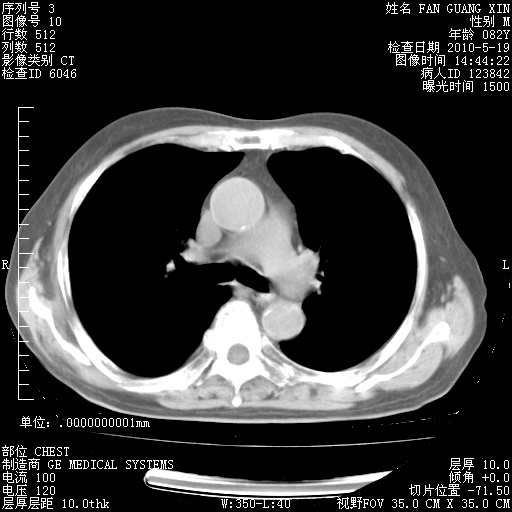
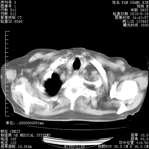
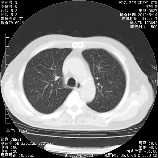
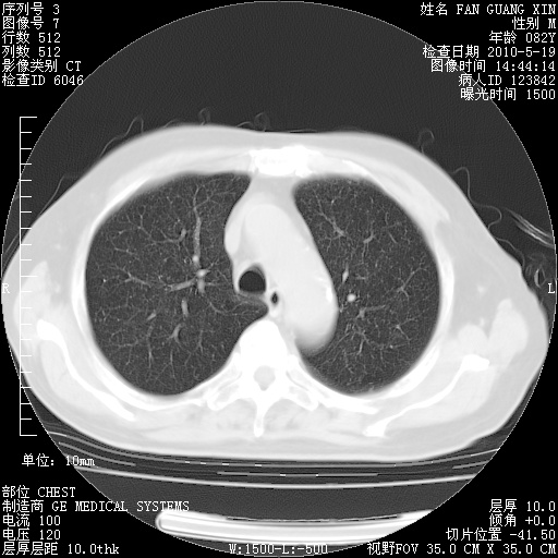
可改为口服强的松40-50mg/d治疗,若病情仍稳定,胸部阴影不再吸收可逐渐减量
本版积分规则 发表回复 回帖并转播 回帖后跳转到最后一页
查看 »